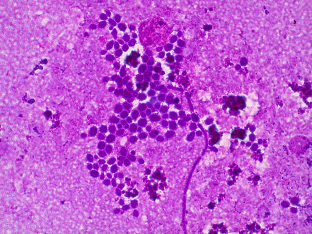
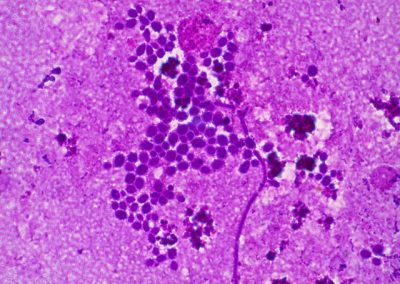
Candida albicans
Glive: Candida albicans, kuž.
Aspergillus fumigatus
Glive: Aspergillus fumigatus, kult.
Penicillium spp.
Glive: Penicillium spp., kult.
Microsporum canis
Glive: Microsporum canis, kult.
Trichophyton mentagrophytes
Glive: Trichophyton mentagrophytes, kult.
Epidermophyton floccosum
Glive: Epidermophyton floccosum, kult.