Trichomonas vaginalis
Praživali: Trichomonas vaginalis ‒ trofozoit, uš (15×10 µm)
Giardia intestinalis
Praživali: Giardia intestinalis ‒ cista v iztrebku, Lugol (10×8 µm)
Giardia intestinalis
Praživali: Giardia intestinalis ‒ trofozoit v iztrebku (15×10 µm)
Entamoeba histolytica
Praživali: Entamoeba histolytica ‒ cista
Cryptosporidium parvum
Praživali: Cryptosporidium parvum ‒ oocista v iztrebku (5 µm)
Cyclospora cayetanensis
Praživali: Cyclospora cayetanensis ‒ oocista v iztrebku, Ziehl-Neelsen (9 µm)
Plasmodium vivax
Praživali: Plasmodium vivax ‒ trofozoiti v eritrocitu, Giemsa (4 µm)
Plasmodium vivax
Praživali: Plasmodium vivax ‒ gametocit v eritrocitu, Giemsa (8 µm)
Plasmodium falciparum
Praživali: Plasmodium falciparum – trofozoiti v eritrocitu, razmaz krvi, Giemsa (2 µm)
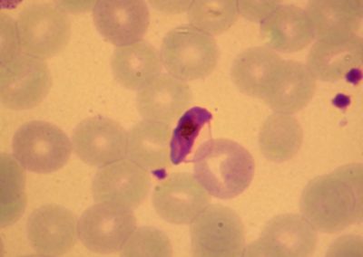
Plasmodium falciparum
Praživali: Plasmodium falciparum ‒ gametocit, razmaz krvi, Giemsa (8 µm)
Leishmania spp.
Praživali: Leishmania spp. ‒ amastigotna oblika v razmazu kostnega mozga, Giemsa (4×2 µm)
Leishmania spp.
Praživali: Leishmania spp. ‒ promastigotna oblika v kulturi na NNN, Giemsa (12×2 µm)
Trypanosoma brucei
Trypanosoma brucei ‒ tripomastigotna oblika v razmazu krvi, Giemsa (25×3 µm)
Toxoplasma gondii
Praživali: Toxoplasma gondii ‒ tahizoit v peritonalnem izpirku miši, Giemsa (6×3 µm)
Fasciola hepatica
Helminti: Fasciola hepatica ‒ odrasel metljaj (3×1,5 cm)
Schistosoma haematobium, S. mansoni
Helminti: Schistosoma haematobium, S. mansoni ‒ jajčeci, nativni preparat (150×65 µm)
Taenia spp.
Helminti: Taenia spp. ‒ jajčeca (40×30 µm)
Echinococcus granulosus
Helminti: Echinococcus granulosus ‒ odrasla pasja trakulja (3‒6 mm)
Ascaris lumbricoides
Helminti: Ascaris lumbricoides ‒ jajčece gliste v iztrebku, Lugol (60×40 µm)
Trichuris trichiura
Helminti: Trichuris trichiura ‒ jajčece gliste v iztrebku, Lugol (50×25 µm)
Enterobius vermicularis
Helminti: Enterobius vermicularis ‒ jajčeca gliste, celofanski odtis (60×30 µm)
Trichinella spiralis
Helminti: Trichinella spiralis ‒ ličinka gliste lasnice v mišici (400 µm)
Wuchereria bancrofti
Helminti: Wuchereria bancrofti ‒ mikrofilarija filarije v krvi, Giemsa (240‒300 µm)
Ixodes ricinus
Členonožci: Ixodes ricinus ‒ klop (2,5‒3 mm)
Sarcoptes scabiei
Členonožci: Sarcoptes scabiei ‒ pršica srbec v postržku kože (0,3‒0,4 mm)
Pediculus humanus capitis
Členonožci: Pediculus humanus capitis ‒ odrasla uš (1,5 mm)
Pediculus humanus capitis
Členonožci: Pediculus humanus capitis ‒ jajčece (gnida) (1 mm)
Phthirus pubis
Členonožci: Phthirus pubis ‒ sramna uš (1 mm)
Cimex lectularius
Členonožci: Cimex lectularius ‒ odrasla stenica (5 mm)
Pulex irritans
Členonožci: Pulex irritans ‒ človeška bolha (3‒4 mm)
Ctenosephalides canis
Členonožci: Ctenosephalides canis ‒ pasja bolha (2‒3 mm)
Anopheles spp.
Členonožci: Anopheles spp. ‒ samica komarja
Culex spp.
Členonožci: Culex spp. ‒ samica komarja
Phlebotomus spp.
Členonožci: Phlebotomus spp. ‒ peščena muha