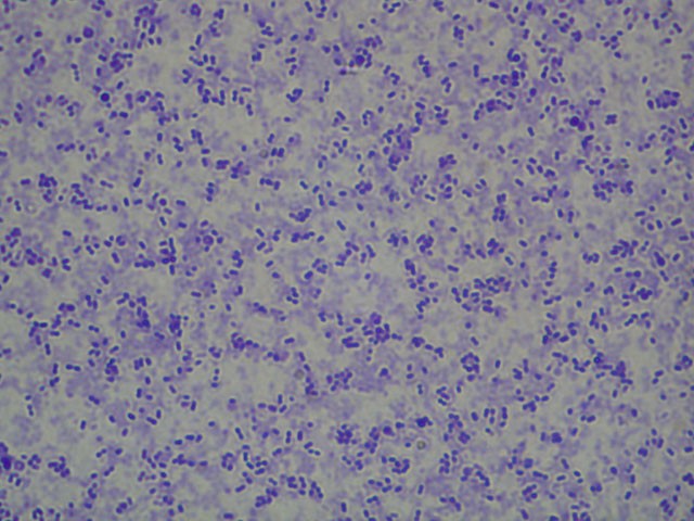
Staphylococcus spp.
Rod Staphylococcus
Staphylococcus spp.
Rod Staphylococcus: Staphylococcus spp., kuž.
Streptococcus spp.
Rod Streptococcus: Streptococcus spp., kult.
Streptococcus spp.
Rod Streptococcus: Streptococcus spp., kuž.
Streptococcus pneumoniae
Rod Streptococcus: Streptococcus pneumoniae, kult.
Streptococcus pneumoniae
Rod Streptococcus: Streptococcus pneumoniae, kuž.
Neisseria gonorrhoeae
Rod Neisseria: Neisseria gonorrhoeae, kult.
Neisseria gonorrhoeae
Rod Neisseria: Neisseria gonorrhoeae, kuž.
Neisseria meningitidis
Rod Neisseria: Neisseria meningitidis, kult.
Escherichia coli
Družina Enterobacteriaceae: Escherichia coli, kult.
Klebsiella pneumoniae
Družina Enterobacteriaceae: Klebsiella pneumoniae, kult.
Haemophilus influenzae
Rod Haemophilus: Haemophilus influenzae, kult.
Corynebacterium diphtheriae
Rod Corynebacterium: Corynebacterium diphtheriae, kult.
Mycobacterium tuberculosis
Rod Mycobacterium: Mycobacterium tuberculosis, kult.
Mycobacterium tuberculosis
Rod Mycobacterium: Mycobacterium tuberculosis, kuž.
Campylobacter spp.
Rod Campylobacter: Campylobacter spp., kult.
Vibrio spp.
Rod Vibrio: Vibrio spp., kult.
Treponema pallidum
Rod Treponema: Treponema pallidum, kult.
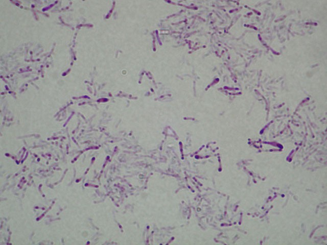
Bacillus anthracis
Rod Bacillus: Bacillus anthracis, kult.
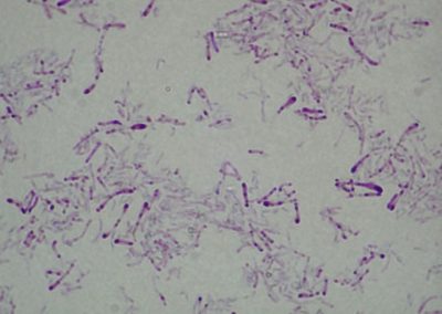
Bacillus anthracis
Rod Bacillus: Bacillus anthracis, kuž.
Clostridium perfringens
Rod Clostridium: Clostridium perfringens, kuž.
Clostridium botulinum
Rod Clostridium: Clostridium botulinum, kult.
Clostridium tetani
Rod Clostridium: Clostridium tetani, kult.
Fusobacterium spp.
Rod Fusobacterium: Fusobacterium spp., kult.